Sådan foregår befrugtning af æg med ICSI-metoden
-
-
Herunder kan du læse om, hvad der sker i laboratoriet i forløbet mellem æg-udtagning og æg-oplægning, når vi befrugter æg med ICSI-metoden. ICSI vil sige mikroinjicering (Intra Cytoplasmatisk Sperm Injektion) for at opnå befrugtede æg.
Behandlingen af æggene i laboratoriet forløber over 5-6 dage.
-
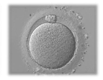
På tidspunktet for æg-udtagningen er æggene stadig omkranset af såkaldte cumulusceller. Disse celler har fulgt ægget under modningsprocessen i æggeblæren og spiller dermed en vigtig rolle for, at æggene modnes korrekt.
Når cumuluscellerne nærmest ligner solstråler rundt om ægget, er det tegn på, at ægget er modent og parat til at blive befrugtet. Finder vi derimod æg under æg-udtagningen, som har cumuluscellerne tæt pakket omkring sig, kan det være tegn på, at ægget ikke er modent nok til at blive befrugtet af en sædcelle. Vi giver dog alle de udtagne æg den samme behandling og dermed chance for at blive befrugtet.

Umodent æg med cellerne tæt pakket om sig.

Korrekt modnet æg med cumulusceller som ”solstråler”.
Denudering (fjernelse af cumuluscellerne)
Inden vi forsøger at befrugte æggene ved hjælp af ICSI-metoden, hvor én sædcelle stikkes ind i hvert æg, foretager vi en ”denudering” af æggene. Denudering betyder, at vi fjerner cumuluscellerne omkring ægget. Herefter kan vi i mikroskopet se, om ægget er korrekt modnet til at blive befrugtet. Det er kun korrekt modnede æg, der kan befrugtes, og derfor udfører vi ikke injektion af sædceller i umodne æg.

Umodent æg – ikke egnet til ICSI.

Korrekt modnet æg – klar til ICSI.
Sædoprensning og ICSI
Sædprøven gøres klar i laboratoriet. Her vaskes de bevægelige sædceller fri af sædvæsken. Vi oprenser således kun de bedste sædceller til videre brug i behandlingen. Når vi udvælger sædceller til injektion i æggene, ser vi efter sædceller, der har god bevægelse og ser normale ud.
Når vi har forsøgt at befrugte alle æg med en sædcelle i hvert enkelt æg, placerer vi æggene enkeltvist i en lille bakke, så vi kan holde øje med hver enkelt ægs udvikling.

En normal sædcelle suges op i injektionspipette. Ægget holdes fast med en holdepipette, og sædcellen kan forsigtigt stikkes ind i ægget.
Opbevaring af æggene
Når vi har udført ICSI på alle æg, overflytter vi dem til vores timelapse-inkubatorer, hvor de skal dyrkes de næste 5-6 dage. Inkubatorerne er varmeskabe, der efterligner de forhold, som æggene normalt vokser under med hensyn til pH, temperatur og ilt. Samtidig tager inkubatoren billeder af æggene hvert kvarter, så vi kan følge æggenes udvikling på et hvilket som helst tidspunkt.

-
Dagen efter æg-udtagningen er det første, vi ser efter, om æggene er blevet korrekt befrugtet. Et korrekt befrugtet æg indeholder to forkerner: én forkerne indeholder arvemateriale fra ægget og den anden arvematerialet fra sædcellen.
De korrekt befrugtede æg vil typisk starte deres første celledeling om eftermiddagen på dag 1.

Et korrekt befrugtet æg med to tydelige forkerner.

Ægget har her foretaget den første celledeling.
Ukorrekt befrugtede æg
Der kan ske fejl i de biokemiske processer, der styrer interaktionen af sædcellen med ægget. Dette kan medføre ukorrekt befrugtning. Ukorrekt befrugtede æg indeholder typisk kun én forkerne eller flere end to forkerner. Ses der ingen forkerner i ægget, er ægget ubefrugtet. Ubefrugtede og ukorrekt befrugtede æg kan ikke skabe en graviditet, og de vil derfor ikke blive brugt til æg-oplægning.
-
Den 2. celledeling sker typisk tidligt om morgenen på dag 2. Her deler cellerne sig til et embryon bestående af 4 celler. Optimalt deler alle 4 celler sig igen, så embryonet består af 8 celler på dag 3.
Fra dag 3-4 – efter endnu flere celledelinger – udviskes cellegrænserne mellem cellerne i embryonet, så det antager et brombærlignende udseende, som kaldes ”morula”.

Embryonets første udviklingstrin: 4 celler på dag 2, 8 celler på dag 3, samt en morula på dag 4.
I løbet af morula-stadiet forbereder embryonet sig til de første celledifferentieringer, hvilket medfører et helt nyt udseende, som kaldes en ”blastocyst”.
En optimal embryoudvikling vil typisk medføre, at æggene har udviklet sig til blastocyster på dag 5. En topkvalitets blastocyst har et væskefyldt hulrum, en tydelig kompakt samling af celler (den indre cellemasse) og en flot perlerække af celler (trophectodermceller), som afgrænser hulrummet ud mod æggets omgivende æggeskal.
En blastocyst pumper og pulserer og bliver ved med at udvide sig, indtil æggeskallen brister, og blastocysten kan mase sig ud. Dette kaldes, at blastocysten ”hatcher” (klækker).
Når blastocysten er fuldt hatchet, kan den sætte sig fast i livmoderen.
I livmoderen sætter trophectodermcellerne sig fast i slimhinden (implantation) og er herefter med til at udvikle moderkagen. Den indre cellemasse består af de celler, der senere udvikler sig til det kommende foster.

En topkvalitets-blastocyst med et tydeligt væskefyldt hulrum, en tæt indre cellemasse og flotte trophectodermceller. Til højre ses endnu en endnu mere udviklet blastocyst, der er i gang med at hatche.
-
Her på Fertilitetsklinikken venter vi til dag 5 med æg-oplægningen, idet de embryoner, der har klaret sig hele vejen hertil og har udviklet sig til flotte blastocyster, overordnet set har en signifikant højere graviditetschance, end embryoner, der er lagt op allerede på dag 3. I sjældne tilfælde vil en æg-oplægning på dag 3 dog være det bedste for dit forløb. I så fald aftaler vi det med dig.
Vi har en række kvalitetsparametre, som vi bedømmer de tidlige embryoner ud fra. Alle vores æg dyrkes i vores timelapse-inkubator med kamera. Dette gør, at vi på ethvert tidspunkt kan se æggenes udvikling over tid på computeren og løbende anvende og notere relevante kvalitetsparametre.
På dagen for æg-oplægningen vælger vi ud fra vores kvalitetsparametre det bedste æg til oplægning. Hvis der er flere æg af egnet kvalitet, nedfryser (vitrificerer) vi dem.
-
Har du spørgsmål, er du velkommen til at kontakte os.
Fertilitetsenheden
Sekretær
Tlf. 97 66 32 03
Vi træffes bedst: Mandag – fredag 8.00 – 10.00 og 13.00 – 14.00
Sygeplejerske
Tlf. 97 66 31 86
Vi træffes bedst: Mandag – fredag 7.45 – 8.45